A project from the American Society of Retina SpecialistsSign in to view content
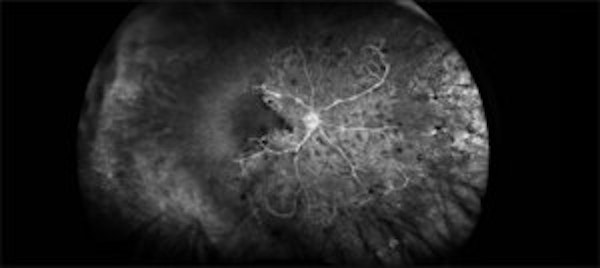
Total Rhegmatogenous retinal detachment with lattice degeneration & Vitreous haemorrhage
- Images
- Published 2023
72-year male presented PVD induced total retinal detachment with vitreous hemorrhage.
Related
Category: Retinal Detachment